Home / Health / निपाह भाइरसले ७५ प्रतिशतसम्म संक्रमितको मृत्यु हुन सक्छ

निपाह भाइरसले ७५ प्रतिशतसम्म संक्रमितको मृत्यु हुन सक्छ

काठमाडौं : भारतको केरला राज्यमा देखिएको निपाह भाइसरको संक्रमण नेपालमासमेत देखिन सक्ने भन्दै इपिडिमियोलोजी तथा रोग नियन्त्रण महाशाखाले सतर्क गराएको छ ।

महाशाखाले ‘अर्लि वार्निङ अलर्ट एण्ड रेस्पोन्स सिस्टम इवार्स रिपोर्टिङ’मार्फत् सम्भावित महामारी न्यूनीकरणको प्रबन्ध मिलाउन अस्पतालहरुलाई अनुरोध गरेको छ । रोगको यकिन निदान नहुँदै वा तीव्र रुपमा बिरामीको स्वास्थ्य अवस्था बिग्रँदै गएका, वा मृत्यु भएका बिरामीहरुको समयमै अनुसन्धान तथा बिरामीको नमूना संकलन गरी राष्ट्रिय जनस्वास्थ्य प्रयोगशाला टेकुमा पठाउन अनुरोध गरेको छ ।

गत सेप्टेम्बर ५ मा भारतको केरलामा निपाह भाइरस संक्रमणबाट एक व्यक्तिको ज्यान गएपछि नेपालमा पनि यो भाइसरलाई सम्भावित सरुवा भाइरसको रुपमा निगरानीमा राखिएको इपिडिममियोलोजी तथा रोग नियन्त्रण महाशाखाका निर्देशक डा. कृष्णप्रसाद पौडेलले बताए ।

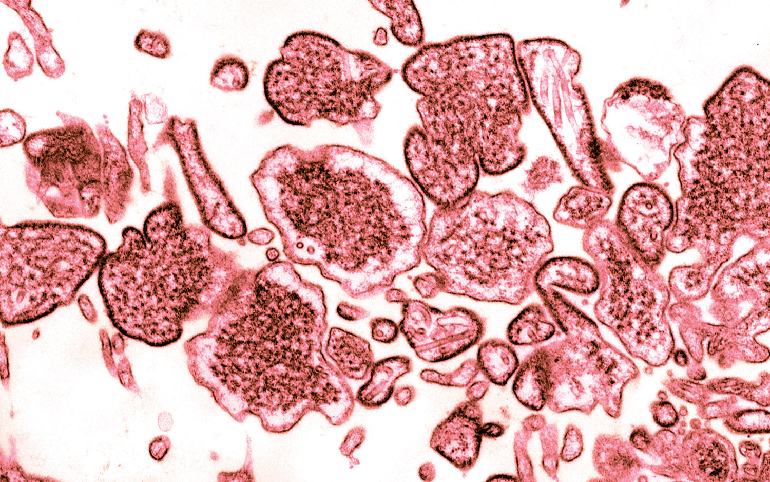
के हो निपाह भाइरस ?

निपाह भाइरस सन् १९९९ मा पत्ता लागेको एक खतरनाक भाइरसको संक्रमण हो । टेरोपस प्रजातिको चमेरामा पाइने यो भाइरस चमेराबाट घरपालुवा सुँगुर र बङ्गुरमा सर्दछ, भने संक्रमित सुँगुर वा बङ्गुरले मानिसमा सार्ने गर्दछन् । त्यस्तै टेरोपस चमेरोले टोकेको फल मानिसले खाएमा वा उक्त चमेरोको दिसा, पिसाव वा र्‍याल मानिससम्म आइपुगेमा पनि यो भाइरस सर्ने वरिष्ठ सरुवा रोग विशेषज्ञ डा. शेरबहादुर पुन बताउँछन् ।

निपाह भाइरस एक व्यक्तिबाट अर्को व्यक्तिमा श्वासप्रश्वासको माध्यमबाट सर्ने गर्दछ ।

संक्रमितलाई स्याहार गर्ने र नजिकमा रहने व्यक्तिहरुमा यो संक्रमण धेरै सर्ने गरेको छ । सन् २००१ मा भारतको सिलिगुढीमा फैलिएको निपाह भाइरस सर्नेमध्ये ७५ प्रतिशत बिरामीका आफन्त र स्वास्थ्यकर्मीहरु रहेको विश्व स्वास्थ्य संगठनको अध्ययनले देखाएको छ । त्यस्तै संक्रमित सुँगुर, बङ्गुर फार्ममा काम किसानहरुलाई निपाह भाइरसको संक्रमण हुने गरेको अध्ययनहरुले देखाएका छन् ।

यी हुन् लक्षणहरु

यो भाइरस मानिसको शरीररमा अत्यन्तै छिटो फैलिने र श्वासप्रश्वासको माध्यमबाट नसा हुँदै स्नायु रक्तसञ्चार प्रणालीसम्म असर पुर्‍याउने गर्दछ ।

निपाह भाइरस संक्रमणको कोही व्यक्तिमा साधारण र कोहीमा श्वासप्रश्वास सम्बन्धी गम्भीर लक्षण देखिन सक्ने विश्व स्वास्थ्य संगठनले जनाएको छ ।

सामान्यतया यो भाइरसको संक्रमणपछि ज्वरो आउने, टाउको दुख्ने, मांसपेसी दुख्ने, वाकवाकी लाग्ने र टन्सिलाइटिस जस्ता लक्षण देखिने गर्दछन् । त्यस्तै रिंगटा लाग्ने, बेहोस हुने, श्वासप्रश्वासमा समस्या देखिनेसँगै निमोनिया, इन्सेप्लाइटिससमेत यसका लक्षणहरु हुन् । निपाह भाइरस संक्रमणको लक्षण मानिसको ४५ दिनसम्ममा देखिनसक्ने संगठनले जनाएको छ ।

कति खतरनाक ?

सन् १९९९ मा मलेसियामा पहिलोपटक देखा परेको निपाह भाइरसले १ सय जनाको ज्यान लिएको थियो भने ३ सयजना संक्रमित भएका थिए ।

निपाह भाइरसको संक्रमण फैलिएपछि सो समयमा करिब १० लाख सुँगुरहरु मारिएको थियो ।

त्यसयता सन् २०२१ मा बंगलादेशमा यो भाइरस देखिएको थियोभने कम्बोडिया घाना, इन्डोनेसिया लगायत भारतमा पनि पटक पटक देखिएको विश्व स्वास्थ्य संगठनले जनाएको छ ।

भारतमा पहिलोपटक सन् २००१ मा भारतको पश्चिम बंगाल राज्यस्थित सिलिगुडीमा ६६ जनामा यो भायरस पुष्टि भएको थियो ।

त्यसयता सन् २००८ र २०१८ मा भारतका विभिन्न राज्यहरुमा यो निपाह् भाइरसको संक्रमण फैलिएको थियो । विश्व स्वास्थ्य संगठनका अनुसार निपाह भाइरसको संक्रमितको मृत्यु हुने सम्भावना ४० देखि ७५ प्रतिशतसम्म हुन्छ ।

यो संक्रमणको हालसम्म जनावर र मानिस दुवैमा कुनै उपचार तथा खोप विकास भएको छैन , संक्रमित फार्म तथा घरपालुवा जीवको सम्पर्कमा अरुलाई आउन नदिनु र त्यस्ता क्षेत्रमा मानिसको आवतजावत बन्द गर्नु नै निपाह भाइरसको संक्रमणबाट जोगिने उपाय भएको संगठनले जनाएको छ । साथै संगठनले निपाह भाइरस संक्रमणलाई तत्काल अनुसन्धान गर्नुपर्ने रोगको प्राथमिकतामा राखेको छ ।

नेपालमा परीक्षण हुन्छ ?

इपिडिमियोलोजी तथा रोग नियन्त्रण महाशाखाले रोगको यकिन निदान नहुँदै वा तीव्र रुपमा बिरामीको स्वास्थ्य अवस्था विग्रँदै गएका, वा मृत्यु भएका बिरामीहरुको समयमै अनुसन्धान तथा बिरामीको नमूना संकलन गरी राष्ट्रिय जनस्वास्थ्य प्रयोगशाला एनपीएचएल टेकुमा पठाउन अनुरोध गरेको छ ।

अन्य सरुवा रोगजस्तै पीसीआर विधीबाट निपाह भाइरस संक्रमणको परीक्षण गरिने एनपीएचएलका निर्देशक डा. रुणा झाले बताइन् ।

Leave a Reply

Your email address will not be published. Required fields are marked *